Blog | DlaAmazonek.pl - Realizacja zleceń NFZ bez wychodzenia z domu

Tabela rozmiarów biustonoszy Amoena

Jak nakładać perukę?

Obrzęk limfatyczny po mastektomii

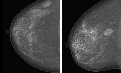
Badania piersi - kto może je przeprowadzić, kiedy i w jaki sposób?

Uprawnienia kobiet chorych na nowotwory - co należy się chorym?

Najnowsze, aktualne zasady refundacji na nakładki modelujące oraz protezy piersi

Hormonoterapia- metoda, która daje bardzo pozytywne rezultaty w leczeniu raka piersi

Z rakiem piersi można walczyć na różne sposoby. Oczywiście najlepszą metodą jest profilaktyka. Jednak nie zawsze uda się ją wdrożyć w porę i wtedy pozostają bardziej inwazyjne rozwiązania. Jednym z nich jest hormonoterapia.

Czym jest włókniak i jak go leczyć ?

Różnego rodzaju guzki to najczęściej występujące zmiany w piersiach kobiet. Mogą pojawić się w różnym wieku i mają różne podłoże. Najczęściej są nieszkodliwe i nie mają podłoża nowotworowego. W każdym wypadku pojawienie się guzka powinno być skonsultowane z lekarzem w celu dokonania diagnozy.

Jak pielęgnować i czyścić protezę piersi? Płyn do mycia protezy, szczoteczka do czyszczenia

Nabywając protezę piersi musimy zadbać o jej odpowiednią pielęgnację. Regularne mycie i czyszczenie protezy są szczególnie istotne, ponieważ kontakt ze skórą i potem może prowadzić do gromadzenia się bakterii i zabrudzeń. W naszym artykule przedstawiliśmy kilka ważnych wskazówek.

Dieta dla amazonek - co zawiera i jakie korzyści zapewnia?

Zdrowe żywienie, regularny ruch fizyczny i optymistyczne podejście do życia odgrywają kluczową rolę w profilaktyce wielu rodzajów nowotworów, w tym raka piersi. Zdrowa dieta przeciwdziała otyłości, która jest czynnikiem ryzyka rozwoju raka piersi. Aktywność fizyczna wspomaga układ odpornościowy.

Zdrowe piersi: co warto wiedzieć o zmianach nowotworowych?

Zachowanie zdrowych piersi to istotny element profilaktyki raka piersi, który jest jednym z najczęściej diagnozowanych nowotworów u kobiet. Zrozumienie podstawowych informacji dotyczących zmian nowotworowych w piersiach, czynników ryzyka oraz metod profilaktyki i wczesnego wykrywania jest kluczowe.

Loading...